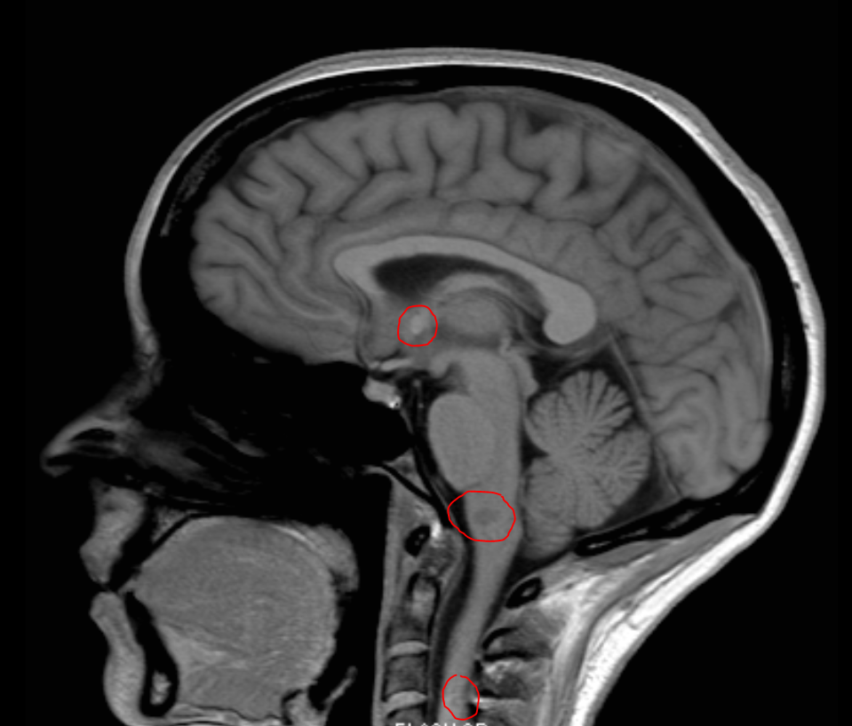
The end of 2013 was not much fun. This is my brain:
You will notice faint marks (helpfully circled in red). These are lesions or scars caused by my immune system savagely attacking my central nervous system. Arsehole! The fateful diagnosis.. Multiple Sclerosis. What a shocker.. stopped Fun Times right in their tracks. Sucks right.
Well yes and no. A year and bit later, while still lesioned and tingly (read up if you want) I am fitter, healthier, slimmer and happier. So screw you immune system, Fun Times are back on the menu.


